主页 > 国内新闻 / 正文
南都讯 记者李春花 通讯员 王慧 75岁的何阿姨,常年受到双膝关节疼痛的折磨,近日疼痛愈加严重,双侧膝关节逐渐弯曲变形,辗转来到广医三院关节外科就诊,因患者合并痛风和糖尿病,手术需要微创、快速、精准,关节外科副主任张弛团队运用AI-KNEE的人工智能系统进行术前精准规划,患者术后次日即可无痛下地行走。据悉,本案例为广东省首例人工智能术前规划系统辅助的膝关节置换手术。
七旬老人膝关节疼痛十几年,多种基础疾病手术棘手
何阿姨今年75岁,双膝关节疼痛已经折磨她长达十余年,辗转各家医院求医,中药西药吃了不少,却总是治标不治本。近期,何阿姨双侧膝关节逐渐弯曲变形,到后来变得伸不直也曲不下,膝盖部位也是加倍疼痛,辗转来到广州医科大学附属第三医院关节外科就诊。
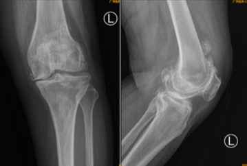
术前X光检查显示何阿姨左膝关节软骨完全磨损,髌上囊及股骨后髁大量骨赘增生,何阿姨尽管行动不便、疼痛难忍,却对手术顾虑较大。“如果不进行手术根治,日后不但难以行走,更会因为长期不运动,使得心肺功能下降,原有的高血压、糖尿病等基础疾病也难以控制。”张弛分析了手术的必要性和有效性,最终患者和家属一致决定进行手术,但手术的难题却也如同“拦路虎”一样出现。

术前X光片提示患者左膝关节软骨完全磨损,髌上囊及股骨后髁大量骨赘增生。
“经过完整的检查发现,患者不仅是关节的磨损和变形,大量骨刺堆积在股骨后髁造成她的关节屈伸受限,更为棘手的是,患者还合并痛风和糖尿病,还要同时在手术中清除关节内的痛风石,而糖尿病的患者一定要控制手术时间,防止感染几率升高。”张弛副主任医师解释说,“如何做到微创、快速、精准的完成手术成为最大的难题。”
人工智能术前规划,术后次日即可无痛下地行走
日前,广医三院引进了AI-HIP人工智能髋关节置换术前规划系统,并成功实施多例髋关节置换手术,帮助患者术前进行精准术前规划,为诸多老年患者解决了手术精准度、速度的难题,取得了较好的反响。如果将人工智能术前规划系统应用到全膝关节的手术中,那么何阿姨的手术难题将迎刃而解。
对此,张弛团队在与患者及家属充分沟通后,决定使用人工智能系统辅助置换全膝关节。专家在系统中上传患者的CT资料,人工智能便快速完成了术前规划,其模拟的假体型号及角度、位置十分精准。

人工智能术前规划模拟出精准的假体大小和位置。
“传统的全膝关节置换术极其依赖术中所见及骨科医生的临床经验,医生常需于术中反复比对以寻找最适假体大小,由于患者个体差异大、病情复杂等问题,导致全膝关节置换术后患者满意度偏低。”张弛解释说,“该患者病情复杂,通过人工智能辅助,能够在术前精准规划,帮助手术更快速、更精准的实现。”
8月20日,在手术室和麻醉科的密切配合下,张弛团队为患者顺利实施了左侧膝关节表面置换手术,术中发现膝关节严重磨损,大量痛风石堆积。由于术前人工智能的精准测量,使得手术步骤简化,耗时1个半小时就安装好假体完成了手术,整个手术出血不到30毫升。

术中运用后交叉韧带保留型的假体进行膝关节表面置换,术后复查照片精准复制了人工智能测量的结果。
据悉,今年7月20日,国家骨科与运动康复临床医学研究中心批准了《评价使用人工智能初次全髋关节置换术规划系统精准性的多中心前瞻性临床试验》科研项目立项,广医三院成为全国26家首批加入该研究的定点单位之一。
近日,张弛团队已陆续为三名女性患者进行了AI-KNEE辅助膝关节置换手术,患者术后次日均可下地行走,疗效显著。
图:广医三院提供
猜你喜欢
- 2023-11-23 7人牟利270多万元 房产销售索要天价“茶水费”
- 2023-12-08 拉“麻将群”按局抽“房费”盈利40余万元 群主
- 2023-11-23 可恶!骗子竟利用寻人信息敲诈勒索,顺德一家
- 2023-12-08 大连市一轿车撞击行人致4死3伤 警方:驾驶人已
- 2023-12-08 开学前疫情防控,这些操作叫人放心→
- 2023-11-23 杀医者家属自行办理转院
- 2023-12-08 兑换时常没有合适座位!航空公司“无限飞”产
- 2023-12-08 长沙全城送别袁隆平:花店免费派菊花,出租车
- 2023-12-08 出生当晚被迫送养 男子寻亲40多年终解身世之谜
- 2023-11-24 2亿技能劳动者如何成为中等收入群体?人社部:
- 搜索
-
- 04-12增强斗争精神牢固树立为民服务理念畅通为民服务渠道
- 03-09越来越多的女性开始加入跟车的行列共同面对这一行业的挑战
- 01-26塘房镇凉水村发生山体滑坡造成18户房屋被掩埋44人失联
- 12-1311月国内新能源重卡市场共计销售4632辆环比10月份增长36%
- 12-08梅州山村里的畲话:有音无字似客家话,口口相
- 12-08留学生船票炒出天价!深圳精准“追回”数千张
- 12-08“特别珍贵”!袁隆平论文手稿公开,档案馆还
- 12-08焦点解读!广州将实施电动自行车登记上牌,今
- 12-08《失孤》原型拐卖案细节:系一对情侣旅游期间
- 12-08不再三点半放学!教育部:今秋开学后中小学全
- 04-12增强斗争精神牢固树立为民服务理念畅通为民服务渠道
- 12-1311月国内新能源重卡市场共计销售4632辆环比10月份增长36%
- 01-26塘房镇凉水村发生山体滑坡造成18户房屋被掩埋44人失联
- 03-09越来越多的女性开始加入跟车的行列共同面对这一行业的挑战
- 11-16茅台醉直隶 飞天敬总督——2023年保定直隶总督署
- 11-16荣登央视新闻联播!地上铁推进公共领域车辆全
- 11-16汉武帝老来得子 或与西王母不死药天山雪莲息息
- 11-16《你好!三星堆》沉浸式光影艺术展发布仪式在
- 11-16云帐房战略投资云猫易账,引领代账行业变革转
- 11-16清研环境模块化污水处理创新装备亮相第二十五
- 11-16升"革"品质聚焦新生,SAVENCIA再度亮相第六
- 11-24南都记者暗访广州街头“预存话费送手机”骗局
- 11-23广州男子58同城请人通厕所,标价80通完收费150
- 12-08广州献血奖励加码!献全血30次以上免费乘坐公共
- 11-23神州优车再回应“工位辞退员工”
- 11-24129家房企被抽查,华润、新城等大开发商被山西
- 11-23历次测量珠峰闯过的难关:冲顶时遇恶劣天气,
- 11-23湖南浏阳致7死花炮厂事故详因查明
- 12-08车厢骚扰旅客还袭警 酒疯子被刑拘
- 11-23娘不娘不能只看外表?超九成受访者认同:有担
- 标签列表
-
